VIDEOS

Sieu am bung tong quat kiem tra gan mat. Ket qua on a

Siêu âm bụng tổng quát kiểm tra gan, mật. Kết quả ổn ạ! #siêu_âm_bụng_tổng_quát

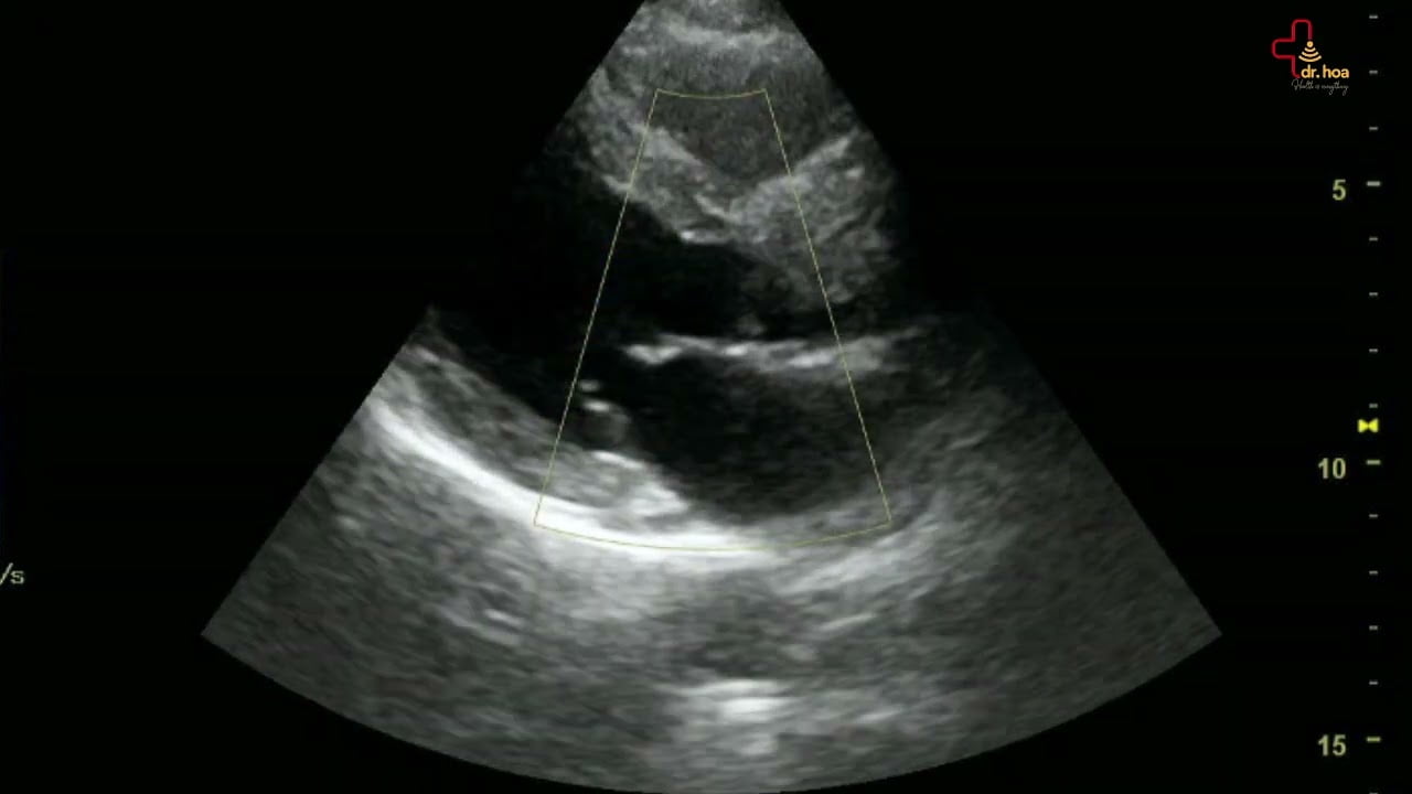
Sieu am tim hinh anh ro dep

#Siêu_âm_tim hình ảnh rõ đẹp.

Sieu am Q7 xin gioi thieu ca

Siêu âm Q7 xin giới thiệu ca #siêu_âm_tuyến_giáp bất thường.

Sieu am Q7 xin gioi thieu Giay phut ngau hung ve Sieu am 4D sieu am thai

Siêu âm Q7 xin giới thiệu “Giây phút ngẫu hứng” về Siêu âm 4D #siêu_âm_thai.

Sieu am Q7 xin gioi thieu case sieu am tuyen vu Buou soi tuyen dien hinh thuong gap o phu nu tre

Siêu âm Q7 xin giới thiệu case #siêu_âm_tuyến_vú : Bướu sợi tuyến điển hình thường gặp ở phụ nữ trẻ!

Sieu am Q7 xin gioi thieu case sieu am bung tong quat

Siêu âm Q7 xin giới thiệu case #siêu_âm_bụng_tổng_quát.

Long ruot

 

Sieu am Q7 xin chia se nhung hinh anh sieu am U mach mau gan. sieu am bung tong quat

Siêu âm Q7 xin chia sẻ những hình ảnh siêu âm U mạch máu gan. #siêu_âm_bụng_tổng_quát

Thai 28 tuan be rat de thuong sieu am thai

Thai 28 tuần, bé rất dễ thương! #siêu_âm_thai

Viem ruot thua cap